Traitements laser Aerolase

Le Neo Elite est un LASER de grade médical qui offre à la clientèle une expérience inégalée sur le marché. Sa technologie unique élimine l’inconfort habituellement ressenti lors des traitements LASER et IPL réguliers et donne des résultats sûrs et très efficaces pour tous les types et tons de peaux.

Épilation laser

Réduction permanente des poils

  • Il est recommandé de faire entre 6 et 8 traitements aux 4 à 8 semaines pour des résultats avant-après optimaux.
  • Prix forfaitaires lorsque vous jumelez plus d’une région à la fois.
  • Idéal pour les peaux foncés et les peaux bronzés. 

Rajeunissement de la peau

Un traitement de rajeunissement laser avec NeoSkin d’Aerolase est unique car il fait beaucoup pour votre peau. Le résultat est une amélioration de la qualité, du tonus et de la texture de votre peau, qui retrouve son éclat de jeunesse. Cure de 6 séances recommandée. 

Visage 250 $
Visage et cou 350 $
Décolleté 250 $
Zone corps 400 $

* Prix pour chaque séance

Appelez dès maintenant

Prenez rendez-vous en ligne

Révision des cicatrices

Le nombre de séance varie selon le cas car en général plus la cicatrice est foncée, plus le nombre de séances sera grand. Les traitements au laser diminueront la mélanine et la rougeur des cicatrices et activeront la production de collagène pour régénérer la peau. Pour des résultats encore plus optimaux, combiner les traitements laser au Venus Viva (radiofréquence nanofractionnelle).

Cicatrices 200 $
* Prix par région pour chaque séance

Appelez dès maintenant

Prenez rendez-vous en ligne

Traitement contre l’acné

Le laser chauffera la zone touchée pour éliminer les bactéries p.acnes tout en aidant à réduire les glandes sébacées, ce qui les fera produire moins d’huile, limiter les futures poussées et réduire la taille des pores de peau. Il est important d’avoir une bonne routine de produits à la maison qui vous sera conseillée par votre esthéticienne en fonction de votre peau et de vos besoins. Le nombre de séance varie, environ 4 à 8 séances aux 2 semaines.

Acné150 $

* Prix pour chaque séance

Appelez dès maintenant

Prenez rendez-vous en ligne

Traitement de la pseudo-folliculite de la barbe

Pour toutes les personnes ayant des folliculites (poils incarnés) causant de l’inconfort ou des imperfections. Bien noter que la zone traitée doit être rasée 2 à 3 jours avant le traitement. Une amélioration de 15% peut être observé entre chaque séances, pour des résultats optimaux, nous recommandons 6 séances, aux 4 à 6 semaines.

Barbe200-300 $

* Prix pour chaque séance

Appelez dès maintenant

Prenez rendez-vous en ligne

Traitement des lésions vasculaires

Le traitement des lésions vasculaires améliorent l’aspect des vaisseaux sanguins en surface de la peau tel les télangiectasies, les angiomes, les veines araignées, etc. Bien noter qu’en règle générale les vaisseaux sanguins sur les jambes ont une plus grande tendance à refaire surface. On recommande environ 2 à 3 séances, bien que dans certains cas plus de traitements peuvent être nécessaires.

Vasculaire – Visage150 $

* Prix pour chaque séance

Appelez dès maintenant

Prenez rendez-vous en ligne

Vasculaire – Corps300 $

* Prix pour chaque séance

Appelez dès maintenant

Prenez rendez-vous en ligne

Traitement du psoriasis et eczéma

Les lésions du psoriasis et de l’eczéma ont tendance à s’atténuer après le premier traitement ou les traitements subséquents. Quelle que soit la réponse au traitement, la récidive est fréquente, c’est pourquoi il est important de comprendre que le psoriasis est une maladie chronique qui peut être contrôlée par la lumière du laser plutôt que guérie. Le nombre de séance varie selon l’individu et la région touchée, nous recommandons donc un minimum de 5 séances.

Psoriasis / eczéma250-350 $

* Prix pour chaque séance

Appelez dès maintenant

Prenez rendez-vous en ligne

Traitement du mélasma et des taches pigmentaires

Le mélasma : Comme sur la photo du haut, le melasma peut avoir un composant pigmentaire dermique et épidermique. Il peut également avoir un composant inflammatoire avec une vascularité accrue. Le laser diminue ces problèmes. Il est bien important que le mélasma est une maladie chronique qui peut être contrôlée plutôt que guérie. Une cure de 6 traitements est recommandée.

Les taches pigmentaires : Comme sur la photo du bas, la tache pigmentaire est bien définie et présente un aspect foncé. Elles apparaissent souvent en raison d’une production excessive de mélanine suite à une surexposition solaire ou en cabine de bronzage. Le laser réduit le pigment en quelques séances seulement.

Petite région150 $
Moyenne région250 $
Grande région350 $

* Prix pour chaque séance

Appelez dès maintenant

Prenez rendez-vous en ligne

Traitement de la rosacée et rougeurs

Pour toutes les personnes ayant des rougeurs, de la couperose, de l’érythrose ou de la rosacée. Le laser décompose les rougeurs et coagule les capillaires, pour redonner à la peau un aspect uniforme et clair. Une cure de 6 traitements est recommandée.

Rougeurs visage250 $

* Prix pour chaque séance

Appelez dès maintenant

Prenez rendez-vous en ligne

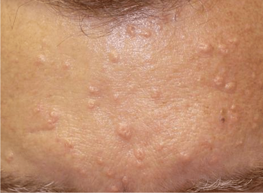
Hyperplasie sébacée

L’hyperplasie sébacée est une affection bénigne de la peau qui se manifeste par de petites bosses jaunâtres ou rosées, souvent localisées sur le visage. Elles sont causées par une hypertrophie des glandes sébacées et, bien qu’inoffensives pour la santé, elles peuvent être inesthétiques et difficiles à camoufler avec du maquillage. Le laser Aerolase Neo est une technologie de pointe qui permet de cibler sélectivement les glandes sébacées responsables de l’hyperplasie, sans endommager les tissus avoisinants. Grâce à son faisceau doux mais puissant, il réduit progressivement les lésions tout en stimulant le renouvellement cutané. Dans la majorité des cas, quelques séances suffisent pour obtenir une amélioration significative.

Hyperplasie SébacéeÀ partir de 90 $

* Prix pour chaque séance

Appelez dès maintenant

Prenez rendez-vous en ligne

Verrue

Les verrues, bien qu’elles soient bénignes, peuvent être gênantes, douloureuses ou inesthétiques selon leur localisation (mains, pieds, visage, etc.). De plus, elles ont tendance à persister ou à récidiver malgré certains traitements traditionnels. Le laser Aerolase Neo est une solution moderne, sécuritaire et efficace pour traiter les verrues. Grâce à son énergie lumineuse ciblée, il chauffe et détruit les tissus infectés tout en préservant la peau environnante. Ce procédé permet de réduire progressivement la verrue et d’éliminer le virus à sa source. Certaines peuvent disparaître après une seule séance, tandis que d’autres nécessiteront quelques traitements supplémentaires

VerruesÀ partir de 150 $

* Prix pour chaque séance

Appelez dès maintenant

Prenez rendez-vous en ligne

0
    0
    Votre panier
    Le panier est videRetour à la boutique
    Scroll to Top